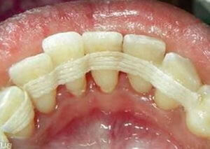
Шинування зубів скловолокном
У нашій сімейній стоматологічній клініці ви зможете отримати якісне та професійне обслуговування наших найкращих стоматологів та ортодонтів у Черкасах та області. Ми надаємо широкий спектр стоматологічних послуг, лікувального та естетичного спрямування.
Наші професіонали проводять високоякісну діагностику та лікування за допомогою сучасного обладнання та стоматматеріалів. Ми маємо свою зуботехнічну лабораторію та найкращих лікарів-фахівців, здатних забезпечити високий рівень стоматологічних послуг для кожного клієнта. Наша клініка дбає про те, щоб дорослих та маленьких клієнтів оточувала тепла атмосфера та уважне ставлення.

У нас можна записатися на процедуру «шинування зубів скловолоконною стрічкою», яка виконується строго за призначенням вашого лікаря-стоматолога після проведення діагностичних методик.
Головне завдання, яке стоїть перед проведенням даної процедури полягає у запобіганні подальшому розхитуванні та випаданні зубів при пародонтозі та інших захворюваннях.
Скловолоконна шина є ефективним способом терапії при пародонтозі та пародонтиті, тому застосовується досить часто. Цей спосіб застосовується лише за наявності таких показань:
– хвороби пародонту;
– для закріплення результату корекції неправильного прикусу із застосуванням брекет-систем;
– при дефектах зубного ряду;
– часте утворення каменів у місцях зіткнення зуба та ясна;
– зміна форми ясен, оголення коренів;
– сильна кровоточивість ясен та розхитування.
Використання спеціальної шини дає можливість зняти навантаження з хворих зубів та розподілити його між здоровими. Таким чином, з’являється можливість зміцнити зуби, що хитаються, і запобігти їх випаданню.
Будь-який вид лікування призначається лише професійним лікарем, який підбирає необхідний спосіб вирішення проблеми у кожному конкретному випадку. Наші фахівці надають належний рівень діагностики для складання об’єктивної картини стану стоматологічного здоров’я пацієнта. Досвід та професіоналізм лікарів нашої клініки Stomadeus дозволяє проводити ортодонтичне відновлення максимально швидко та безболісно. Ми виконуємо роботу будь-якої складності завдяки високій кваліфікації ортодонтів, щоб досягти найестетичнішого результату.
Виконання такої процедури, як «шинування скловолоконною стрічкою», відбувається за одне відвідування стоматклініки, проте проводиться в кілька етапів:
Протипоказанням щодо цієї методики лікування може лише індивідуальна алергічна реакція на використовувані матеріали, що трапляється дуже рідко.

Шинування зубів скловолоконною стрічкою в Черкасах має багато переваг перед іншими методами:
– досить низька вартість;
– відсутність впливу на дикцію та жування їжі;
– забезпечення рівномірного розподілу навантаження на здорові зуби;
– абсолютно не впливає на естетичний вигляд;
– гіпоалергенність матеріалів;
– відносно швидке проведення установки шини;
– за потреби, волокно можна швидко замінити або зняти.
Наші найкращі фахівці допоможуть вам швидко і безболісно впоратися з наслідками захворювання на пародонтоз, а також закріпити оптимальні результати після носіння брекет-систем, переломів щелепи та сильних ударів.
Скловолокно застосовується у випадках застосування незнімного виду лікування. Воно дозволяє зберегти зуби навіть у запущеній стадії рухливості, проводити гігієну ротової порожнини якісно і забезпечує естетичність зовнішнього вигляду.
Існує кілька видів лікування даною технікою:
– тимчасове: терміни носіння нитки, що зміцнює, можуть досягати декількох місяців;
– Довготривале: може проходити від кількох місяців до року;
– Постійне: застосовується у найзапущеніших випадках, від року до десятків років.
Щоб курс лікування пройшов максимально вдало – необхідно дотримуватися всіх рекомендацій фахівця, обговорити графік регулярних відвідувань з вашим лікарем і дотримуватися його.
Наша клініка у своїй діяльності керується високими стандартами якості та клієнт-орієнтованого підходу до кожного пацієнта, дорослого та маленькому. На шинування скловолокном ціна в кожному випадку прораховується індивідуально, після проведення якісної діагностики, рентгенографії та огляду стоматолога. Вартість процедури в кожному випадку залежатиме від багатьох факторів:
– причини, з яких було призначено дану техніку лікування;
– вибрані лікарем способи її виконання;
– хвороби зубного ряду, особливості прикусу;
– стоматологічні матеріали, що використовуються під час процедури;
– складність роботи.
На шинування скловолоконною стрічкою ціна від нашої клініки Стомадеус одна із найнижчих у Черкасах. Ми гарантуємо високу якість роботи наших найкращих лікарів-стоматологів завдяки застосуванню інноваційних методів, сучасного інструментарію та високоякісних матеріалів.
Щоб дізнатися більше про наші послуги, вартість або записатися на прийом до наших стоматологів – швидше зателефонуйте нам за вказаним на сайті номером телефону або заповніть форму зворотного зв’язку, щоб ми передзвонили вам у найкоротші терміни.
Попередній запис та консультація
Ми зв'яжемося з вами, підберемо зручний час і відповідного лікаря.
Ми розташовані у зручному місці - ваш комфорт починається ще до візиту!
Безкоштовна парковка та швидкий доступ з будь-якої точки міста.
Оберіть мову сайту