Професійна гігієнічна чистка зубів у Черкасах
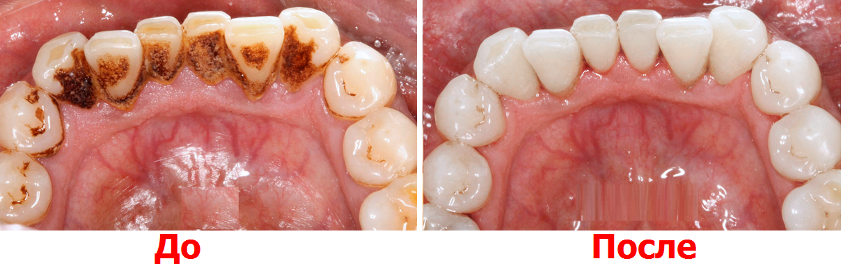
Зубний наліт та зубний камінь – це проблема, з якою стикаються навіть люди, які дуже ретельно доглядають за гігієною ротової порожнини. Відкладення, які осідають на зубах у занедбаному стані можуть привести до серйозних захворювань, наприклад, гінгівіту і пародонтиту.
Відкладення на зубах бувають м’якими і твердими. На початковій стадії утворюється зубна бляшка – м’який наліт. Вона виникає на ділянках зубів, поверхня яких не самоочищається при жуванні. Мікроскопічні залишки їжі і мікроорганізмів склеюються, поступово стають твердішими і перетворюються на зубний камінь. Позбутися від цієї проблеми і повернути білизну зубам здатна професійна чистка зубів.

Якщо зубний камінь вражає ясенний канал в яснах виникає запальний процес. Згодом ясна може почати кровоточити і відшаровуватися від стінки зуба, а зуб стане нестійким. Запобігти неприємним наслідкам допоможе регулярна ультразвукова чистка зубів. До того ж, що в стоматологічній клініці в Черкасах «Стомадеус» виконується гігієнічна чистка зубів за прийнятною ціною. Проводити цю процедуру рекомендується не менше двох разів на рік.
Накопичення зубних нальоту відбувається з багатьох причин, але перш за все через недотримання гігієни порожнини рота. З проблемою може зіткнутися в першу чергу, людина, яка використовує зубні щітки низької якості, перевагу якій їжі надає або має звичку жувати на одній стороні щелепи.

Процедура чищення зубів від каменю складається з декількох етапів:
Безпечна і безболісна комплексна чистка зубів у Черкасах ціна, якої цілком прийнятна, включає в себе ряд послідовних процедур:
Професійна гігієна зубів дозволяє повернути їм білизну і запобігти виникненню запальних процесів на яснах і утворення карієсу. Цю процедуру необхідно проводити перед початком ортодонтичного лікування, протезування та імплантації.

Вартість лазерного чищення зубів залежить від кількості і виду зубного нальоту. Чищення зубів в стоматологічній клініці «Стомадеус» виконується кваліфікованими фахівцями із застосуванням спеціалізованого обладнання та матеріалів.
Попередній запис та консультація
Ми зв'яжемося з вами, підберемо зручний час і відповідного лікаря.
Ми розташовані у зручному місці - ваш комфорт починається ще до візиту!
Безкоштовна парковка та швидкий доступ з будь-якої точки міста.
Оберіть мову сайту