Глибокий карієс
Наша стоматологічна клініка Stomadeus пропонує комплексне лікування глибокого карієсу кваліфікованими спеціалістами-стоматологами. У своїй діяльності ми керуємося високими стандартами якості та індивідуальним підходом до кожного клієнта. Вирішення стоматологічних проблем починається з огляду та якісної діагностики, на підставі якої проводитиметься лікування гострого глибокого карієсу.

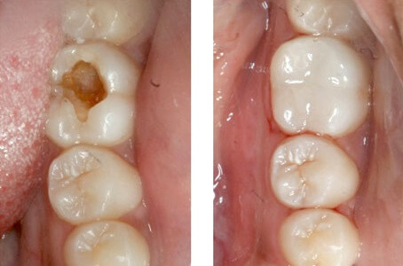
Карієсом називається аутоінфекційне захворювання, яке прогресуючи, призводить до деструктивних змін у твердих зубних тканинах. Фінальною стадією захворювання є виникнення глибокого карієсу, який вже зачіпає дентин. Патологічний процес часто протікає безсимптомно, а виявляється вже в тому випадку, коли з’являється гострий біль із запаленням пульпи та періодонтиту, що ускладнює лікування хронічного глибокого карієсу. Запалення призводить до демінералізації, а згодом і деструкції твердої тканини. На даному етапі досить складно відновити зуб до первісного вигляду, але впоратися з цим завданням можливо, якщо ви звернетеся до досвідченого фахівця з клініки Стомадеус.
Статистичні дані, що ґрунтуються на зібраному анамнезі пацієнтів, показали, що основними симптомами глибокого каріозного процесу є такі:
– термічні: холодна або гаряча їжа, а також вдихання холодного повітря сприяє виникненню больових відчуттів;
– хімічні: вживання солодкої чи кислої їжі може спричинити біль;
– механічні: при сильному стисканні зубів або при жуванні також можуть виникати болючі відчуття.
Якщо патологічний процес розвивається під пломбою, це може призвести до її рухливості, тоді больові відчуття стануть постійними, а в каріозну порожнину можуть потрапляти частинки їжі. На тлі їхнього розпаду виникає галітоз – це неприємний запах, який викликає ще й психологічний дискомфорт. Ще одним важливим ускладненням може стати пульпіт, який є запаленням з хворобливою чутливістю нервових закінчень. Усунути такі наслідки можна лише шляхом видалення нерва та якісного пломбування. Наші досвідчені стоматологи можуть вилікувати глибокий карієс без видалення нерва, тому, якщо ви виявили у себе перераховані вище симптоми – швидше звертайтеся в клініку Стомадеус.
Лікування такої проблеми, як глибокий карієс, відбувається під впливом анестезії, яка починає діяти вже через 10 хвилин після введення препарату. Воно проводиться в декілька етапів:
– очищення зуба від уражених тканин;
– дезінфекція пошкодженого місця;
– накладання спеціальної лікувальної прокладки, яка допомагає утворюватися вторинному дентину;
– встановлення пломби;
– шліфування та полірування.
Глибокий карієс молочних зубів – лікування проводиться дитячим лікарем-стоматологом, має такі самі етапи, як і у випадку з дорослими пацієнтами. Після проведення всіх лікувальних процедур необхідно суворо дотримуватись рекомендацій лікаря:
Наші спеціалісти застосовують анестетики нового покоління. Кожному пацієнту перевіряється індивідуальна чутливість на препарат. Після проведення лікувальних процедур не рекомендується приймати їжу протягом кількох годин.
Досвідчений лікар визначить відповідний у вашому випадку метод лікування, ґрунтуючись на результатах діагностики. Після введення анестезії каріозна порожнина вичищається від уражених тканин до твердих стінок. Найчастіше поблизу розташовується пульпа зуба, яка має підвищену чутливість до будь-яких впливів, що вимагає ендодонтичного лікування.
Його суть полягає в ізоляції пульпи від пломби шляхом застосування спеціального лікувального засобу, що потовщує дентинний прошарок. Після нанесення такого матеріалу накладається пломба. Також може застосовуватися інший метод, який полягає в ізоляції пульпи інертним цементом, з наступним накладенням на неї розчину, що пломбує.
Наша сучасна клініка має свою зуботехнічну лабораторію, де використовуються якісні матеріали. Високий професіоналізм наших лікарів дає можливість виправляти навіть запущені проблеми. У своїй роботі ми використовуємо індивідуальний підхід до кожного клієнта, щоб ви почували себе комфортно та безпечно.
У нашій стоматологічній клініці кожен пацієнт має можливість отримати професійне обслуговування та лікування глибокого карієсу. Вартість такого роду процедур залежить від занедбаності хвороби, особливостей її перебігу, а також індивідуально підібраного способу виправлення проблеми.
Ми надаємо широкий спектр медичних послуг високої якості, застосовуємо новітні технології, інструменти та високоточну діагностику. Якщо у вас глибокий карієс, ціна лікування у нашій стоматології буде дуже вигідною.
Для встановлення пломб ми використовуємо фотополімери п’ятого покоління, які відрізняються чудовою біосумісністю, міцністю та естетичним зовнішнім виглядом. Вартість лікування визначається після первинного огляду та проведення комплексної діагностики. Після неї лікар обирає індивідуальний спосіб виправлення проблеми.
Ступінь каріозного ураження впливає на ціну лікування, тому вона прораховується у кожному разі індивідуально. Наші консультанти готові відповісти на ваші запитання щодо послуг та їх вартості за вказаним на сайті компанії номером телефону, а також при відвідуванні нашої клініки.
Попередній запис та консультація
Ми зв'яжемося з вами, підберемо зручний час і відповідного лікаря.
Ми розташовані у зручному місці - ваш комфорт починається ще до візиту!
Безкоштовна парковка та швидкий доступ з будь-якої точки міста.
Оберіть мову сайту