Глубокий кариес
Наша стоматологическая клиника Stomadeus предлагает комплексное лечение глубокого кариеса квалифицированными специалистами-стоматологами. В своей деятельности мы руководствуемся высокими стандартами качества, а также индивидуальным подходом к каждому клиенту. Решение стоматологических проблем начинается с осмотра и качественной диагностики, на основании которой будет проводиться лечение острого глубокого кариеса.
.jpg)
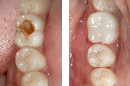
Кариесом называется аутоинфекционное заболевание, которое прогрессируя, приводит к деструктивным изменениям в твердых зубных тканях. Финальной стадией данного заболевания является возникновение глубокого кариеса, который уже затрагивает дентин. Патологический процесс, зачастую, протекает бессимптомно, а выявляется уже в том случае, когда появляется острая боль с воспалением пульпы и периодонтита, что осложняет лечение хронического глубокого кариеса. Воспаление приводит к деминерализации, а впоследствии и деструкции твердой ткани. На данном этапе достаточно сложно восстановить зуб до первоначального вида, но справиться с этой задачей возможно, если вы обратитесь к опытному специалисту из клиники Стомадеус.
Статистические данные, основанные на собранном анамнезе пациентов, показали, что основными симптомами глубокого кариозного процесса являются такие:
— термические: холодная или горячая пища, а также вдыхание холодного воздуха способствует возникновению болевых ощущений;
— химические: употребление сладкой или кислой еды может вызвать боль;
— механические: при сильном сжатии зубов или при жевании также могут возникать болевые ощущения.
Если патологический процесс развивается под пломбой, то это может привести к ее подвижности, тогда болевые ощущения станут постоянными, а в кариозную полость могут попадать частички пищи. На фоне их распада возникает галитоз – это неприятный запах, который вызывает еще и психологический дискомфорт. Еще одним важным осложнением может стать пульпит, который являет собой воспаление и болезненную чувствительность нервных окончаний. Устранить такие последствия можно только путем удаления нерва и качественного пломбирования.
Наши опытные стоматологи могут вылечить глубокий кариес без удаления нерва, поэтому, если вы обнаружили у себя вышеперечисленные симптомы – скорее обращайтесь в клинику Стомадеус.
Лечение такой проблемы как глубокий кариес происходит под воздействием анестезии, которая начинает действовать уже спустя 10 минут после введения препарата. Оно производится в несколько этапов:
— очистка зуба от пораженных тканей;
— дезинфекция поврежденного места;
— накладывание специальной лечебной прокладки, которая помогает образовываться вторичному дентину;
— установка пломбы;
— шлифовка и полировка.
Глубокий кариес молочных зубов – лечение проводится детским врачом-стоматологом, имеет такие же этапы, как и в случае с взрослыми пациентами. После проведения всех лечебных процедур необходимо строго придерживаться рекомендаций врача:
Наши специалисты применяют анестетики нового поколения. У каждого пациента проверяется индивидуальная чувствительная реакция на препарат. После проведения лечебных процедур не рекомендуется принимать еду в течение нескольких часов.
Опытный врач определит подходящий в вашем случае метод лечения, основываясь на результатах диагностики. После введения анестезии кариозная полость вычищается от пораженных тканей до твердых стенок. Зачастую, вблизи располагается пульпа зуба, которая имеет повышенную чувствительность к любым воздействиям, поэтому ее лечение требует эндодонтического лечения.
Его суть заключается в изоляции пульпы от пломбы путем применения специального лечебного средства, утолщающего дентинную прослойку. После нанесения такого стеклоиономерного материала накладывается пломба. Также может применяться иной метод, который заключается в изоляции пульпы инертным цементом, с последующим наложением на нее пломбирующего раствора.
Наша современная клиника имеет свою зуботехническую лабораторию, где используются качественные материалы. Высокий профессионализм наших врачей дает возможность исправлять даже самые запущенные проблемы. В своей работе мы используем индивидуальный подход к каждому клиенту, чтобы вы чувствовали себя комфортно и безопасно.
В нашей стоматологической клинике каждый пациент имеет возможность получить профессиональное обслуживание и лечение глубокого кариеса. Стоимость такого рода процедур зависит от запущенности болезни, особенностей ее течения, а также индивидуально подобранного способа исправления проблемы.
Мы предоставляем широкий спектр медицинских услуг высокого качества, применяем новейшие технологии, инструменты и высокоточную диагностику. Если у вас глубокий кариес, цена лечения в Черкассах в нашей стоматологии будет очень выгодной.
Для установления пломб мы используем фотополимеры пятого поколения, которые отличаются прекрасной биосовместимостью, прочностью и эстетичным внешним видом. Стоимость лечения определяется после первичного осмотра и проведения комплексной диагностики. После нее доктор выбирает индивидуальный метод исправления проблемы. Степень кариозного поражения влияет на цену лечения, поэтому она просчитывается в каждом случае индивидуально.
Наши консультанты готовы ответить на ваши вопросы относительно предоставляемых услуг и их стоимости по указанному на сайте компании номеру телефона, а также при посещении нашей клиники.
Предварительная запись и консультация
Мы свяжемся с вами, подберем удобное время и соответствующего врача.
Мы находимся в удобном месте — ваш комфорт начинается ещё до визита!
Бесплатная парковка и быстрый доступ из любой точки города.
Выберите язык сайта