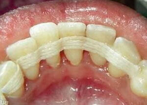
Шинирование зубов стекловолокном
В нашей семейной стоматологической клинике вы сможете получить качественное и профессиональное обслуживание наших лучших стоматологов и ортодонтов в Черкассах и области. Мы предоставляем широкий спектр стоматологических услуг, лечебного и эстетического направления.
Наши профессионалы проводят высококачественную диагностику и лечение при помощи современного оборудования и стоматматериалов. Мы имеем свою зуботехническую лабораторию и самых лучших врачей-специалистов, способных обеспечить высокий уровень стоматологических услуг для каждого клиента. Наша клиника заботится о том, чтобы взрослых и маленьких клиентов окружала теплая атмосфера и внимательное отношение.
.jpg)
У нас можно записаться на процедуру «шинирование зубов стекловолоконной лентой», которая выполняется строго по назначению вашего лечащего врача-стоматолога после проведения диагностических методик.
Главная задача, которая стоит перед проведением данной процедуры заключается в предотвращении дальнейшего расшатывания и выпадения зубов при пародонтозе и других заболеваниях.
Стекловолоконная шина является эффективным способом терапии при пародонтозе и пародонтите, поэтому применяется достаточно часто. Данный способ применяется только при наличии таких показаний:
— болезни пародонта;
— для закрепления результата коррекции неправильного прикуса с применением брекет-систем;
— при дефектах зубного ряда;
— частое образование камней в местах соприкосновения зуба и десны;
— изменение формы десны, обнажение корней;
— сильная кровоточивость десен и расшатывание.
Использование специальной шины дает возможность снять нагрузку с больных зубов и распределить ее между здоровыми. Таким образом, появляется возможность укрепить шатающиеся зубы и предотвратить их выпадение.
Любой вид лечения назначается только профессиональным врачом, который подбирает необходимый способ решения проблемы в каждом конкретном случае. Наши специалисты оказывают надлежащий уровень диагностики для составления объективной картины о состоянии стоматологического здоровья пациента. Опыт и профессионализм врачей нашей клиники Stomadeus позволяет проводить ортодонтическое восстановление максимально быстро и безболезненно. Мы выполняем работу любой сложности благодаря высокой квалификации ортодонтов, чтобы достичь самого эстетического результата.
Выполнение такой процедуры как «шинирование стекловолоконной лентой» происходит за одно посещение стоматклиники, однако проводится в несколько этапов:
Противопоказанием для проведения данной методики лечения может быть только индивидуальная аллергическая реакция на используемые материалы, что случается очень редко.

Шинирование зубов стекловолоконной лентой в Черкассах имеет много преимуществ перед другими методами:
— достаточно низкая стоимость;
— отсутствие влияния на дикцию и жевание еды;
— обеспечение равномерного распределения нагрузки на здоровые зубы;
— абсолютно не влияет на эстетический вид;
— гипоаллергенность материалов;
— относительно быстрое проведение установки шины;
— при необходимости, волокно можно быстро заменить или снять.
Наши лучшие специалисты помогут вам быстро и безболезненно справиться последствиями заболевания пародонтозом, а также закрепить оптимальные результаты после носки брекет-систем, переломов челюсти и сильных ушибов.
Стекловолокно применяется в случаях применения несъемного вида лечения. Оно позволяет сохранить зубы даже в самой запущенной стадии подвижности, проводить гигиену ротовой полости качественно и обеспечивает эстетичность внешнего вида.
Существует несколько видов лечения данной техникой:
— временное: сроки носки укрепляющей нити могут достигать нескольких месяцев;
— долговременное: может проходить от нескольких месяцев до года;
— постоянное: применяется в самых запущенных случаях, от года до десятков лет.
Чтобы курс лечения прошел максимально удачно – необходимо придерживаться всех рекомендаций специалиста, обговорить график регулярных посещений с вашим лечащим врачом и придерживаться его.
Наша клиника в своей деятельности руководствуется высокими стандартами качества и клиент-ориентированного подхода к каждому пациенту, взрослому и маленькому. На шинирование стекловолокном цена в каждом случае просчитывается индивидуально, после проведения качественной диагностики, рентгенографии и осмотра стоматолога. Стоимость процедуры в каждом случае будет зависеть от многих факторов:
— причины, по которым была назначена данная техника лечения;
— выбранные врачом способы ее выполнения;
— болезни зубного ряда, особенности прикуса;
— стоматологические материалы, которые используются во время процедуры;
— сложность работы.
На шинирование стекловолоконной лентой цена от нашей клиники Стомадеус одна из самых низких в Черкассах. Мы гарантируем высокое качество работы наших лучших врачей-стоматологов благодаря применению инновационных методов, современного инструментария и высококачественных материалов.
Чтобы узнать больше о наших услугах, стоимости или записаться на прием к нашим стоматологам – скорее звоните нам по указанному на сайте номеру телефона или заполните форму обратной связи, чтобы мы перезвонили вам в самые краткие сроки.
Предварительная запись и консультация
Мы свяжемся с вами, подберем удобное время и соответствующего врача.
Мы находимся в удобном месте — ваш комфорт начинается ещё до визита!
Бесплатная парковка и быстрый доступ из любой точки города.
Выберите язык сайта