Герметизация фиссур
Герметизация фиссур –эффективная методика профилактики кариеса зубов.

Эта безболезненная процедура позволяет защитить жевательную поверхность коренных и молочных зубов от воздействия патогенных микроорганизмов.
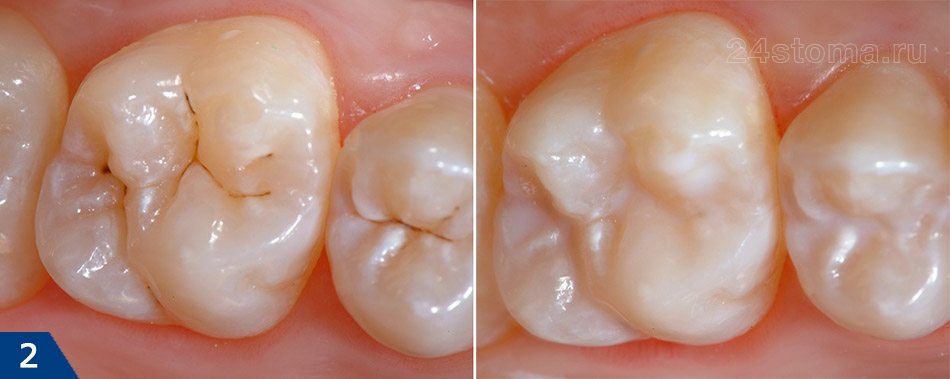
Фиссуры представляют собой особые бороздки между буграми жевательной поверхности зубов. На этом участке зубная эмаль более тонкая и слабо минерализованная. В процессе жевания фиссуры заполняются остатками пищи, которые плохо поддаются удалению. В этой области зуба чаще всего развивается кариозный процесс. Герметизация фиссур цена Черкассы процедура доступна каждому нашему пациенту, которая позволяет сделать поверхность зуба гладкой и прочной. В состав герметиков входят специальные активные компоненты, проникающие вглубь зубной эмали и повышающие ее устойчивость к различным заболеваниям.
Процедуру рекомендуется проводить через несколько месяцев после прорезывания зуба, когда эмаль очень уязвима, поскольку он еще окончательно не минерализовался. Необходимым условием для проведения герметизации фиссур зубов является отсутствие следов кариозного поражения.
Существуют две методики запечатывания фиссур – инвазивная и неинвазивная. Подходящий метод выбирается стоматологом на основании клинического осмотра и оценки состояния ротовой полости пациента.
При отсутствии на фиссуре признаков кариеса используется неинвазивная методика. Задачей стоматолога является поэтапная обработка поверхности зубов и накладывание герметика.
При наличии узких, глубоких бороздок и сложности выявления кариозного поражения целесообразно применение инвазивной методики. С помощью бормашины врач расширяет фиссуры и получает возможность изучить их полость и принять решение о необходимости лечения кариеса или продолжения запечатывания.
Процедура проводится однократно. Герметик действует в течение 2-4 лет. Поскольку зубы у ребенка прорезываются не одновременно, родители должны отслеживать их появление и своевременно записывать малыша на осмотр к стоматологу.
Герметизация фиссур у детей цена которой доступна любому клиенту, позволяет сохранить здоровье зубов, подвергающихся основной жевательной нагрузке. Прежде всего необходимо обрабатывать зуб «шестерку», которая страдает больше других зубов.
Запечатывание фиссур применяется не только у детей, но и у взрослых. Главное условие – здоровый зуб. Герметичное покрытие предотвращает попадание остатков пищи в борозды и снижает риск возникновения кариеса.
Проведение процедуры актуально как для постоянных, так и для молочных зубов. Многие родители придерживаются мнения, что молочные зубы не нуждаются в специальном уходе и защите, поскольку вскоре выпадут. На самом деле, герметизация фиссур молочных зубов и соблюдение гигиены полости рта с раннего возраста ребенка позволяют обеспечить здоровье и долговечность коренных зубов.
Ребенка младшего возраста нелегко уговорить открыть рот и занять удобное для врача положение. Это единственная сложность проведения запечатывания фиссур на молочных зубах. Стоматолог должен иметь качественный обзор всех поверхностей фиссуры, чтобы тщательно заполнить композитом все полости.

Для проведения процедуры используют пластичные и эластичные гелеобразные составы, которые обладают способностью растягиваться по мере роста зуба. Профилактика кариеса герметизация фиссур– это надежный и безопасный способ обеспечить своему ребенку здоровую и белоснежную улыбку. Под механической защитой герметичных составов хрупкая эмаль детских зубов минерализируется и становится способна самостоятельно противостоять патогенной микрофлоре.
Предварительная запись и консультация
Мы свяжемся с вами, подберем удобное время и соответствующего врача.
Мы находимся в удобном месте — ваш комфорт начинается ещё до визита!
Бесплатная парковка и быстрый доступ из любой точки города.
Выберите язык сайта