Лікування карієсу
Наша сімейна клініка Stomadeus пропонує послуги з лікування карієсу досвідченими лікарями-стоматологами. У своїй роботі ми керуємося високими стандартами якості та безпеки, використовуємо сучасні інструменти та матеріали нового покоління. Якщо ви задаєтеся питанням “Де вилікувати карієс недорого?” – ми пропонуємо вам відвідати Стомадеус, де досвідчені фахівці подарують вам гарну усмішку та збережуть здоров’я ваших зубів.

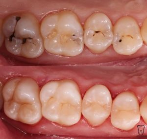
Карієс є досить поширеною проблемою як серед дорослих, так і дітей. Це захворювання зубної емалі, яка руйнується через негативні дії зовнішнього або внутрішнього середовища. Відсутність лікування або його невчасність може призвести до таких наслідків як запалення, абсцеси та втрата зубів. Ушкодження зубної емалі виникають як наслідок таких факторів:
– нестача вітамінів і мікроелементів в організмі, особливо фтору та кальцію;
– недостатня або нерегулярна гігієна ротової порожнини;
– вживання великої кількості вуглеводів також може спровокувати надмірне розмноження патогенних мікроорганізмів;
– проблеми з імунною чи гормональною системою;
– шкідливі звички, особливо алкоголізм та куріння;
– зміна складу слинної рідини, що веде до втрати мінералів і послаблює захист ротової порожнини від бактерій.
Це захворювання поступово розвивається, на перших етапах не викликаючи особливого дискомфорту. Головні симптоми, які починають турбувати людину, бувають такими:
– виникнення білих плям на зубах, які ще не є глибоким ураженням, проте це осередки патологічного процесу, де розмножується шкідлива мікрофлора;
– поява темних плям та чутливості на солодку, кислу, гарячу, холодну;
– нерівності та дефекти на зубній емалі;
– дискомфорт при чищенні зубів та при жуванні твердої їжі;
– поява болю, що загострюється у нічний час;
– неприємний запах із рота.
Важливо пам’ятати, що на перших стадіях захворювання не можна помітити самостійно, тому дуже важливо регулярно відвідувати стоматолога. Професійний огляд та застосування сучасних діагностичних методик дає можливість виявити ураження емалі на ранній стадії, коли ще можна застосовувати консервативні терапевтичні методики.

У нашій сімейній стоматологічній клініці кожен клієнт отримує якісне лікування карієсу на будь-якій його стадії. Ваш лікар подбає про те, щоб ви відчували себе комфортно і безпечно. У своїй практиці ми використовуємо індивідуальний підхід до кожного клієнта, що особливо важливо для наших найменших пацієнтів.
Лікування карієса без болю в нашій клініці проводиться досвідченими фахівцями на основі ретельно проведеного дослідження та збору анамнезу пацієнта. Кожен випадок відрізняється своїми особливостями, які необхідно враховувати під час виборів методики відновлення зруйнованого зуба. Існують такі етапи каріозного ураження емалі:
У нашій стоматології використовуються найкращі методики боротьби з карієсом, які дозволяють зберегти гарну усмішку без втрати зубів.
У нашій стоматології можна швидко та ефективно вилікувати карієс. Ціна такої послуги залежить від того, до якої стадії розвинулося захворювання, тому визначається тільки після проведення детальної діагностики та огляду у лікаря. У Stomadeus вам нададуть високоякісне обслуговування досвідчені стоматологи, а персонал подбає про те, щоб перебування у нас було для вас максимально комфортним.
Якщо вам необхідне лікування карієсу недорого у Черкасах – записуйтесь на прийом до наших лікарів, і вони зроблять все у кращому вигляді. Найголовніше – не гаяти часу, а відразу звертатися до фахівця, як тільки з’явилися перші симптоми.
Вартість лікування зуба від карієсу визначається після прийому лікаря-стоматолога та проведення додаткової діагностики. Якщо у вас легкий ступінь захворювання, то лікування не буде дорогим, тому найкраще звертатися, як тільки відчули перші симптоми.
Записатися на прийом, огляд чи консультацію до наших стоматологів можна за вказаним номером телефону. Задати питання, що вас цікавлять, щодо послуг і прайсу можна, зателефонувавши нашим консультантам. Уточнити всі деталі про терапевтичні методи та їх вартість можна у вашого лікаря.
Попередній запис та консультація
Ми зв'яжемося з вами, підберемо зручний час і відповідного лікаря.
Ми розташовані у зручному місці - ваш комфорт починається ще до візиту!
Безкоштовна парковка та швидкий доступ з будь-якої точки міста.
Оберіть мову сайту