Естетична реставрація
Профілактичні візити до стоматолога необхідні навіть власникам красивих і здорових від народження зубів. Недотримання правил гігієни порожнини рота, дефіцит корисних речовин і куріння здатні спровокувати виникнення стоматологічних захворювань. У результаті зуби втрачають свою колишню привабливість, виникає жовтизна емалі та інші естетичні недоліки.
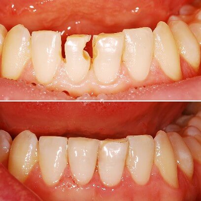
Позбутися від виниклих дефектів і повернути привабливість усмішці здатна косметична реставрація зубів. Це корекційна методика, спрямована на відновлення привабливого вигляду зубів. Її застосування дозволяє в найкоротші терміни виправити форму зубів, їх відтінок, фактуру і рівень прозорості емалі.

Спосіб проведення реставрації залежить від ступеня пошкодження зуба. Її можна виконати безпосередньо в порожнині рота пацієнта або створити заготовку для фіксації на ушкодженому зубі по попередньо знятому зліпком. Методика відновлення зуба підбирається індивідуально для кожного пацієнта, залежно від наявної проблеми і особистих переваг.
Існують чіткі свідчення, за якими проводиться реставрація зубів в місті Черкаси:
Перед початком процедури виконується комплексна діагностика стану порожнини рота пацієнта. При необхідності проводиться лікування карієсу і інших стоматологічних захворювань.
Завдяки великим можливостям сучасної стоматології може виконуватися естетична реставрація зубів в Черкасах будь-якої складності. Ця процедура має на увазі відновлення зовнішнього вигляду зуба і збереження його функціональності. Її проведення доцільно, коли потрібно відновити естетику зуба і його функціональність.
Такі процедури дозволяють змінити:
Існує кілька методик відновлення зубів:
Художня реставрація зубів фотополімерами здійснюється безпосередньо для відновлення відколу зуба, тріщин в емалі, зміни кольору і виправлення інших дефектів. Широка палітра кольорів дозволяє підібрати композитний матеріал відтінку, що підходить під природний колір зубної емалі.
Установка коронок доцільна при руйнуванні здебільшого зуба або при його неправильному розташуванні. В якості опори для коронки служить залишки зуба, імплант або штифт. Така реставрація жувальних зубів дозволяє вирішити не лише естетичні проблеми зубів, а й функціонально допомогти людині.

Використання вінірів, які являють собою тонкі керамічні накладки, форма яких ідентична передньої поверхні зуба. Вініри виглядають максимально природно і не вимагають сильного сточування зубної тканини.
Багатьох пацієнтів стоматології цікавить реставрація зубів після брекетів. У стоматологічній клініці «Стомадеус» після зняття брекетів, виконується полірування зубного ряду, що дозволяє повернути естетику посмішки пацієнта.
Художня реставрація дозволяє довести посмішку до ідеалу. Особливість цієї процедури полягає в тому, що вона проводиться одномоментно. Пацієнт може прийти в клініку і через пару годин вийти від стоматолога з красивими зубами.
Попередній запис та консультація
Ми зв'яжемося з вами, підберемо зручний час і відповідного лікаря.
Ми розташовані у зручному місці - ваш комфорт починається ще до візиту!
Безкоштовна парковка та швидкий доступ з будь-якої точки міста.
Оберіть мову сайту