Герметизація фісур у дітей
Герметизація фісур зубів – це безболісна процедура дозволяє захистити жувальну поверхню корінних і молочних зубів від впливу патогенних мікроорганізмів.
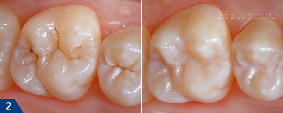
Фісури – особливі борозни між буграми жувальної поверхні зубів. На цій ділянці зубна емаль тонша і слабо мінералізована. У процесі жування, фісури заповнюються залишками їжі, які погано піддаються видаленню. У цій області зуба найчастіше розвивається каріозний процес. Герметизація фісур має ціну, яка доступна кожному жителю Черкас, який відвідує нашу клініку. Ця процедура дозволяє зробити поверхню зуба гладкою і міцною. До складу герметиків входять спеціальні активні компоненти, які проникають всередину зубної емалі і підвищують її стійкість до різних захворювань.

Процедуру герметизація фісур у дітей рекомендується проводити через кілька місяців після прорізування зуба, коли емаль дуже вразлива, оскільки він ще остаточно не мінералізовані. Необхідною умовою для проведення герметизації фісур зубів є відсутність слідів каріозного ураження.
Існують дві методики герметизації фісур молочних зубів: інвазивна і неінвазивна. Відповідний метод вибирається стоматологом на підставі клінічного огляду та оцінки стану ротової порожнини пацієнта.
У сучасних клініках стоматологи використовують фотополімерну герметизацію фісур, оскільки ця суміш твердій досить швидко, що зручно при роботі з дітьми.
Тож при відсутності на фіссурах ознак карієсу використовується неінвазивна методика. Завданням стоматолога є поетапна обробка поверхні зубів і накладання герметика.
При наявності вузьких, глибоких уражень і складності виявлення каріозного ураження доцільно застосування інвазивної методики. За допомогою бормашини лікар розширює фісури і отримує можливість вивчити їх порожнину і прийняти рішення про необхідність лікування карієсу або продовження запечатування.
Процедура проводиться одноразово. Герметик діє протягом 2-4 років. Оскільки зуби у дитини прорізуються не одночасно, батьки повинні відслідковувати їх появу і своєчасно записувати малюка на огляд до стоматолога.
Герметизація фісур у дітей, ціна якої доступна будь-якому клієнту, дозволяє зберегти здоров’я зубів, що піддаються основному жувальному навантаженню.
Процедура покриття фісур герметиком застосовується не тільки у дітей, але і у дорослих. Головна умова – здоровий зуб. Герметичне покриття запобігає потраплянню залишків їжі в борозни і знижує ризик виникнення карієсу.

Проведення процедури актуально як для постійних, так і для молочних зубів. Багато батьків дотримуються думки, що молочні зуби не потребують спеціального догляду і захисту, оскільки незабаром випадуть. Насправді, герметизація фісур молочних зубів і дотримання гігієни порожнини рота з раннього віку дитини дозволяють забезпечити здоров’я і довговічність корінних зубів.
Дитину молодшого віку нелегко вмовити відкрити рот і зайняти зручне для лікаря становище. Це єдина складність проведення герметизації фісур зубів у дітей. Стоматолог повинен мати якісний огляд всіх поверхонь фісури, щоб ретельно заповнити композитом всі порожнини.
Для проведення процедури використовують пластичні та еластичні гелевидні суміші, які мають здатність розтягуватися у міру зростання зуба. Герметизація фісур – це надійний і безпечний спосіб забезпечити своїй дитині здорову і білосніжну усмішку. Під механічним захистом герметичних сумішей тендітна емаль дитячих зубів мінералізується і стає здатна самостійно протистояти патогенній мікрофлорі.
Попередній запис та консультація
Ми зв'яжемося з вами, підберемо зручний час і відповідного лікаря.
Ми розташовані у зручному місці - ваш комфорт починається ще до візиту!
Безкоштовна парковка та швидкий доступ з будь-якої точки міста.
Оберіть мову сайту