Чищення зубів від карієсу
У нашій стоматологічній клініці Стомадеус ви можете отримати обслуговування у досвідчених лікарів. Ми дбаємо про те, щоб кожен клієнт, дорослий і маленький, був у комфортній та безпечній атмосфері. У нас можна пройти комплексну та високоточну діагностику, огляд у досвідченого лікаря, а також почистити зуби від карієсу.

У своїй роботі ми застосовуємо лише новітні інструменти та матеріали, покращені техніки відновлення та збереження вашої посмішки. Ми пропонуємо якісний догляд за ротовою порожниною, щоб запобігти появі каріозного ураження і прибрати його на початковому етапі, поки він не встиг порушити цілісність оболонки. Дізнатись скільки коштує видалення карієсу в нашому центрі можна за вказаним на сайті номером телефону, а також на прийомі у лікаря-стоматолога, після проведення первинного дослідження.
Важливо пам’ятати, що навіть найякісніший домашній догляд не зрівняється з відвідуванням лікаря. З видаленням нальоту у важкодоступних місцях навряд чи впорається звичайна щітка, навіть якщо електронна. Як наслідок, він накопичується і перетворюється на тверді утворення, на яких розмножується патогенна, гнильна мікрофлора.
Утворення таких твердих відкладень призводять до того, що емаль недоотримує корисних мінералів, що загрожує появою каріозного захворювання, пародонтиту, пульпіту та інших запальних процесів. Застосування профочистки дає можливість вирішувати виникнення перелічених вище проблем, а також робити профілактику.
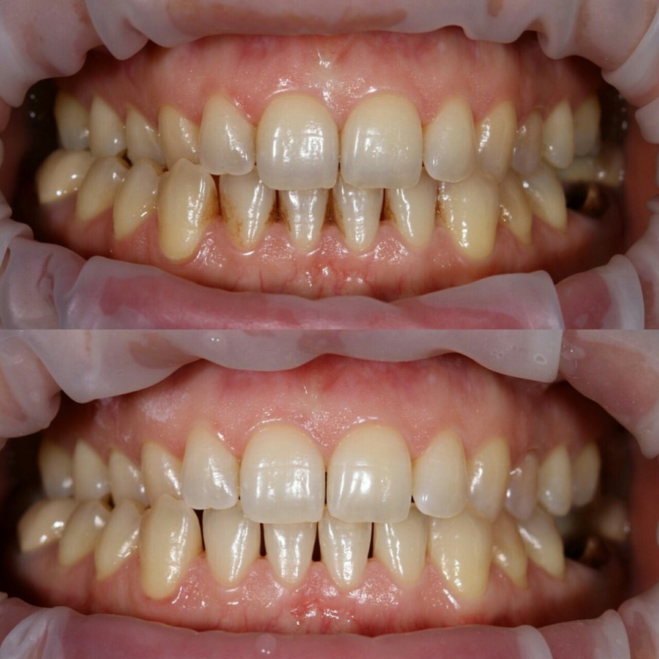
Така техніка вимагає застосування різних інструментів та маніпуляцій, які дозволяють ефективно очищати поверхню емалі та зберігати усмішку здоровою та красивою. Дана методика здатна вирішувати такі завдання:
– очищення нальоту у важкодоступних місцях;
– відбілювання емалі, з якої видаляються плями;
– полірування поверхні, щоб ускладнити наростання твердих частинок;
– зміцнення емалі за допомогою мінералізації, яка проводиться на завершальному етапі.
Це стоматологічне втручання проходить без болю і триває відносно недовго. Великим плюсом є те, що після очищення забираються поверхневі осередки каріозного ураження. Після неї легше провести огляд важкодоступних ділянок, виявити дефекти та інші проблеми зубного ряду.
У нашому стоматологічному центрі майстри використовують високоефективні методики. Регулярне чищення зубів віл карієсу у стоматолога дозволяє вирішити проблему вже на ранній стадії, коли ще немає явних її ознак.

Ми використовуємо такі техніки:
механічний спосіб: повинна проводитися тільки досвідченим лікарем, оскільки виконання маніпуляцій проводиться спеціальними інструментами, з якими треба бути дуже обережним. Така техніка досить ефективна, її поєднання з ультразвуковою підвищує якість результату;
Підбір оптимальної методики здійснюється лікарем з урахуванням особливостей проблем, а також побажань пацієнта. Існує кілька етапів проведення професійного очищення:
Після проведення такої стоматологічної процедури важливо не вживати їжі дві години і дотримуватися рекомендацій лікаря.
У нашій клініці досвідченими стоматологами проводиться професійне чистка зубів від карієсу. Ціна такої процедури доступна кожному клієнту, тому пропонуємо вам відвідати нашу стоматологію для проведення профілактики захворювань зубного ряду.

Професійне чищення дозволяє ефективно прибрати наліт та зубний камінь, що сприятливо впливає на стан зубів та ясен. Вона є профілактикою початкової стадії карієсу та дозволяє зберегти зуби здоровими, а усмішку красивою.
Записатися на прийом до фахівців нашої клініки можна за вказаним номером телефону. На послугу «видалення карієсу» ціна від фахівців нашої клініки буде доступною для кожного клієнта. У роботі ми використовуємо сучасне обладнання та біосумісні матеріали. Ця процедура проводиться абсолютно безболісно, а її тривалість часто не перевищує однієї години, що дуже зручно.
Попередній запис та консультація
Ми зв'яжемося з вами, підберемо зручний час і відповідного лікаря.
Ми розташовані у зручному місці - ваш комфорт починається ще до візиту!
Безкоштовна парковка та швидкий доступ з будь-якої точки міста.
Оберіть мову сайту