Проф гигиеническая чистка зубов
С проблемой возникновения зубного налета и зубного камня рано или поздно сталкиваются даже люди, которые очень ответственно относятся к вопросу соблюдения гигиены полости рта. Оседая на зубах и деснах зубные отложения способны привести к серьезным стоматологическим проблемам: гингивиту и пародонтиту.

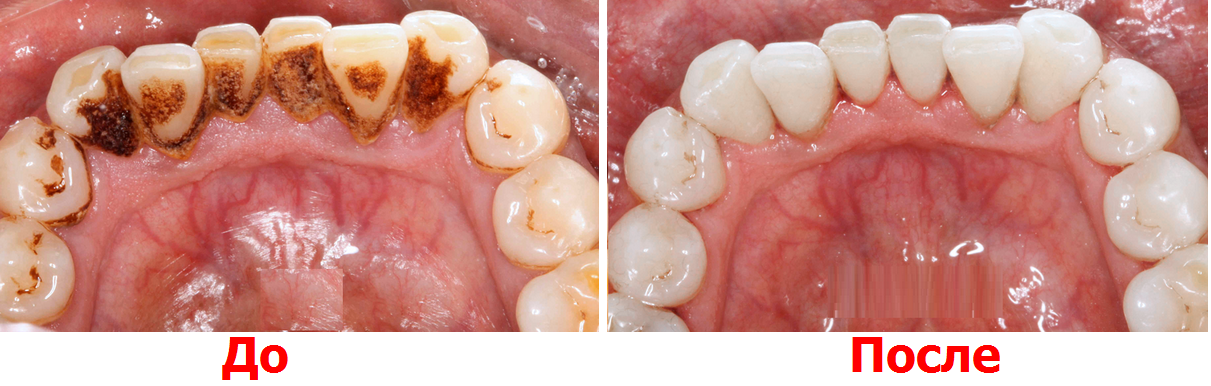
Зубные отложения бывают мягкими и твердыми. На начальной стадии образуется зубная бляшка – мягкий налет. Она возникает на участках зубов, поверхность которых не самоочищается при жевании. Микроскопические остатки пищи и микроорганизмов склеиваются, постепенно затвердевая и превращаясь в зубной камень. Избавиться от возникшей проблемы и вернуть белизну зубам способна проф гигиеническая чистка зубов.
Если зубной камень поражает десневой канал в десне возникает воспалительный процесс. Со временем десна может начать кровоточить и отслаиваться от стенки зуба, а зуб станет неустойчивым. Предотвратить неприятные последствия поможет регулярное посещение стоматолога. Тем более, что в стоматологической клинике в Черкассах « Стомадеус» выполняется профессиональная чистка зубов недорого. Проводить данную процедуру рекомендуется не менее двух раз в год.

Накопление зубных отложений происходит по многим причинам, но прежде всего из-за несоблюдения гигиены полости рта. С проблемой может столкнуться в первую очередь ,человек, который использует зубные щетки низкого качества, отдающий предпочтение мягкой пищи или жующий на одной стороне челюсти.
Профессиональная гигиена зубов позволяет вернуть им белизну и предотвратить возникновение воспалительных процессов на деснах и образование кариеса. Данную процедуру необходимо проводить перед началом ортодонтического лечения, протезирования и имплантации.
.png)
Стоимость профессиональной чистки зубов зависит от количества и вида зубных отложений. Чистка зубов в стоматологической клинике «Стомадеус» выполняется квалифицированными специалистами с применением специализированного оборудования и материалов.
Процедура чистки зубов состоит из нескольких этапов:
Безопасная и безболезненная проф чистка зубов цена, которой вполне приемлема, включает в себя ряд последовательных процедур:
Фторирование. Покрытие зубов защитной фторосодержащей пленкой для профилактики кариеса.
Предварительная запись и консультация
Мы свяжемся с вами, подберем удобное время и соответствующего врача.
Мы находимся в удобном месте — ваш комфорт начинается ещё до визита!
Бесплатная парковка и быстрый доступ из любой точки города.
Выберите язык сайта